Dental Health Punta Cana Strategic Implants | Same Day Implant Technology

Same Day Dental
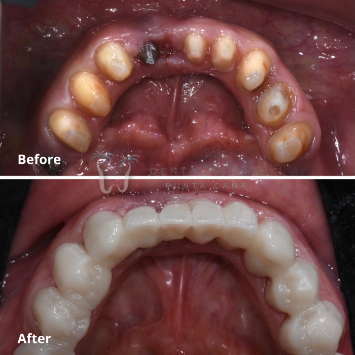
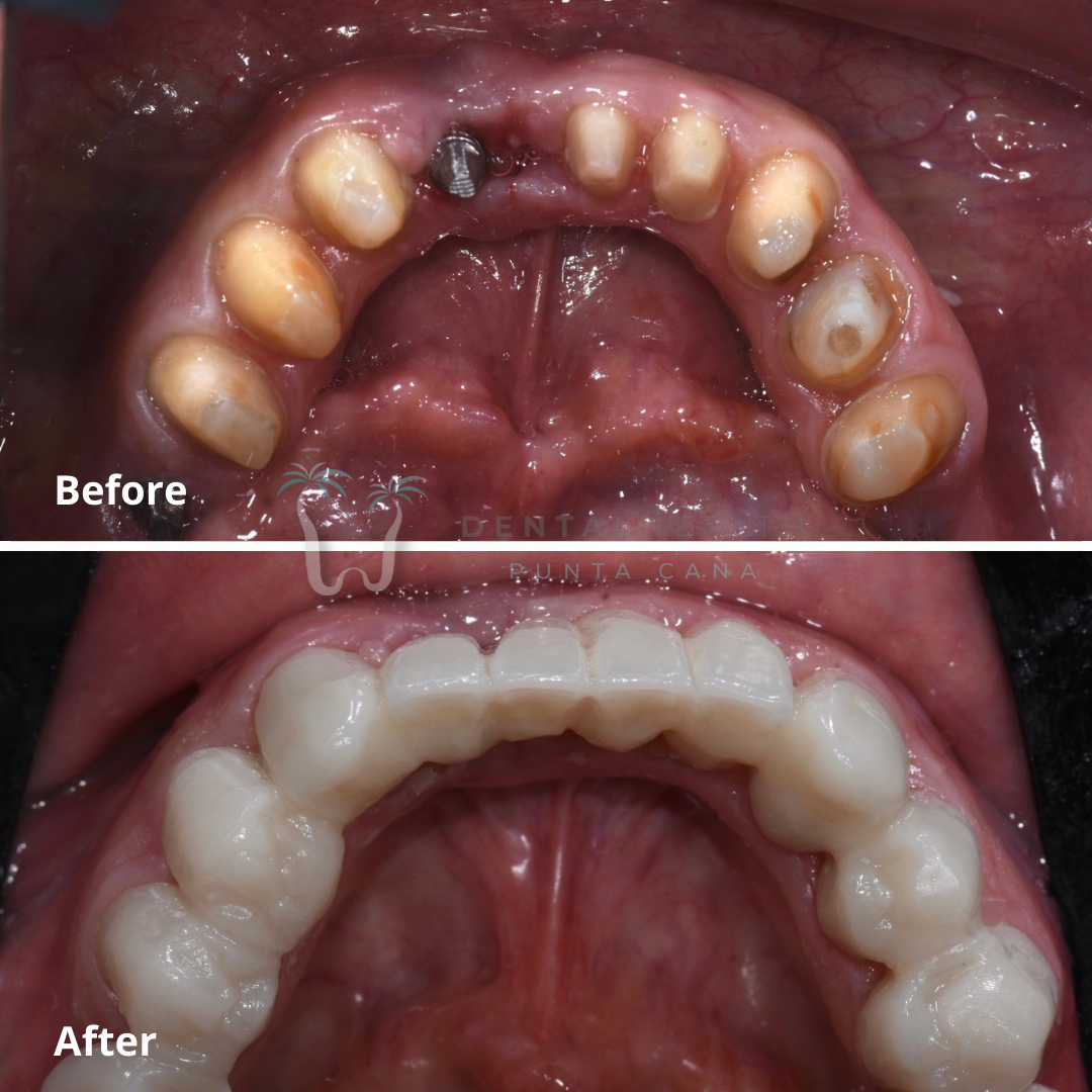
One Piece Implants

Single piece implants are the best dental implant system for replacement of teeth.

FDA Approved

All Lab Equipment and Raw Materials

Graphenano Made

Graphene Crowns made in 24 hours or less

Single Piece Implants

Made in Switzerland

10 Year Warranty

We back our treatments

Book An Appointment

One our patient care specialists will reach out to you in less than 24 hours

Call us now

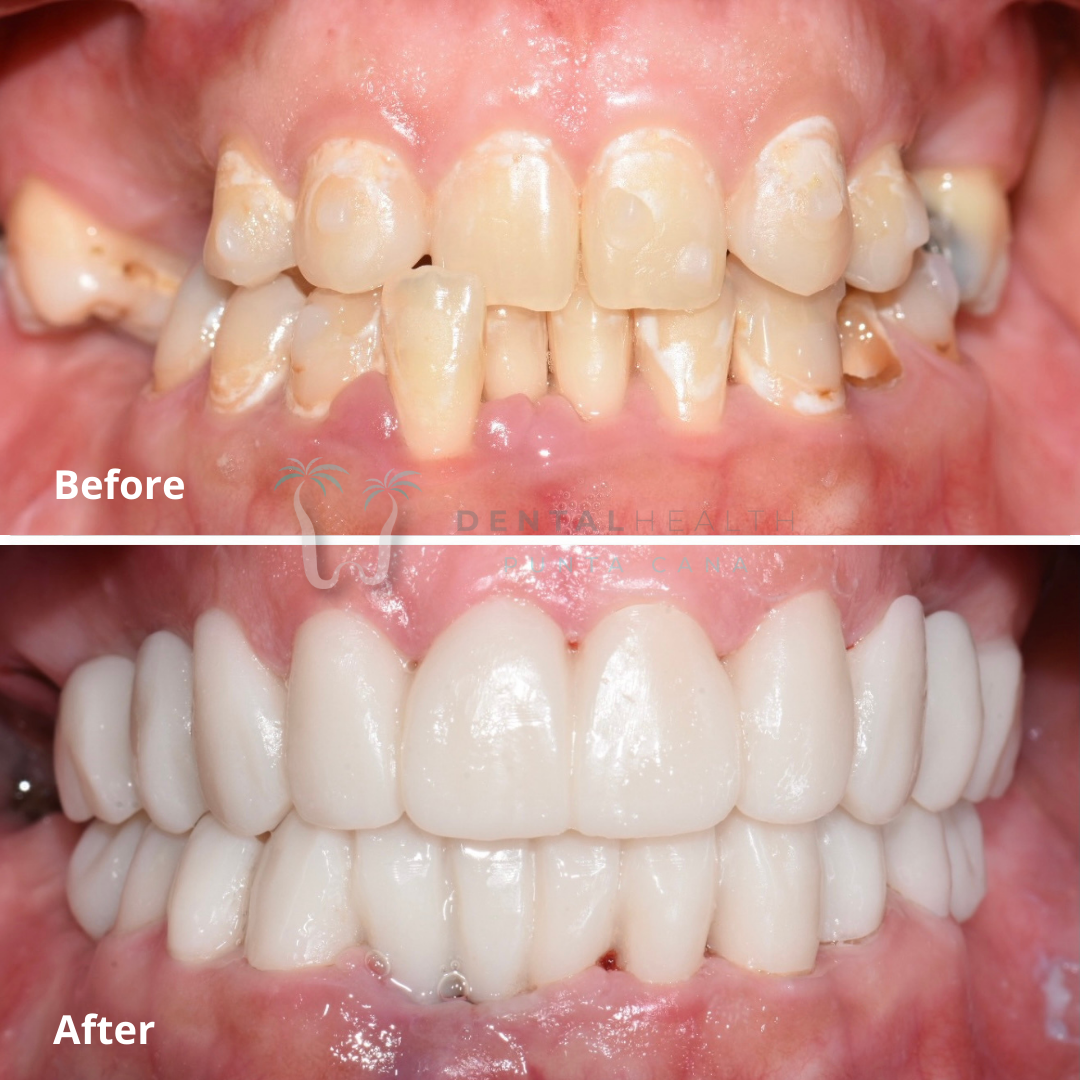
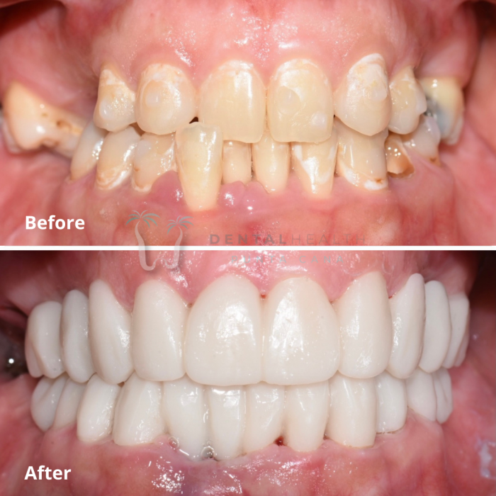
Dental Implants Done Right

Dr. Cesar Bonilla - Maxilofacial Surgeon

Dr. Nathalie Rodriguez - Oral Rehabilitation and Implantology

We are the only dental office in Punta Cana with a private digital dental laboratory so we can provide you with everything you need to get a perfect smile in one single visit.

How It Works

One-Piece Dental Implants technology has become the state-of-the-art tooth replacement solution. It was designed to replace the structural weakness issues that were part of the two-piece implant solution. Learn more today.

Book and your flight and resort for for at least two nights and three days to begin your journey to a new smile. We provide full car service throughout your trip for convenience.

Get same day One-Piece Dental Implants and we will immediately load in a permanent crown.

We provide patient care and warranty for 10 years. We are that good.

Virtual Tour Of our Dental Clinic

One Piece Implants

One Piece vs Two Piece Implants

Know the Difference

One Piece vs Two Piece Implants

PARAMETERS

ONE PIECE IMPLANT

TWO PIECE IMPLANTS

Consideration

The implant and the abutment are fused – they are manufactured as one piece.

The implant and the abutment are separate. The abutment is either cemented or cold welded. If the abutment is secured with a screw onto the implant, then it can be considered to be three pieces.

Basic Design

Simple. No joint. Single piece.

Complex. Two parts joint by screw.

Implant placement procedure

Single sitting surgical procedure and very often flapless (no open surgical procedures are necessary). Implant procedures are less time consuming than that required for bridgework.

Very often more complex surgical procedures are necessary, spread over 2 or 3 sittings in a period of 3-6 months (Implant placement, Healing Screw placement & Abutment Placement).

Loading

Immediate Loading - the patient can be given the crown(s) / bridge(s) the very next day.

Delayed Loading – very often a waiting period of minimum of 3 months is necessary before loading the implants with prosthesis.

Prosthodontic procedure

Conventional impressions of the implants can be made just as is the case with conventional bridgework. Less time consuming.

Conventional impressions of the implants can be made just as is the case with conventional bridgework. Less time consuming.

Size and Design

A wide range of sizes and designs are available suiting various bone types and measurements. The designs even help avoid bone augmentation and sinus lifts.

Limited sizes and designs are available thereby limiting their application.

Cost

These work out a lot more cost effective in comparison with two/three piece implants.

Expensive – with respect to the costs of the implants as well as the time taken for multiple procedures.

From the patient’s point of view

Less complex placement procedure, less number of sittings and crown(s) & bridges can be cemented in a day or two... more or less like that of a conventional bridgework & costs are comparable with that of conventional bridgework.

Crowns / bridges are cemented only after 3 months after the healing phase. Much more expensive than the conventional bridgework.

Screw Loosening

Absent.
Since there is no separate abutment- screw-implant assembly.

Very common. Being two piece, the relation between the root portion and the abutment portion can present problems. Studies have proved that two piece implants experience higher mechanical stress under oblique loading.

Long term Maintenance

Being a single piece, the strength provided by the implant is excellent and there is no separate root portion and abutment portion. Maintenance is very simple. Maintenance is just the same as that of conventional bridgework.

Maintenance of these implants are more complex... very often screws (when used) are to be tightened at periodic intervals as there will be micro-movement between the implant and the abutment.

Vacation and Smile!

Why You Should Visit Our Clinic ?

Patient Testimonials

Make an Appointment

Getting an accurate diagnosis can be one of the most impactful experiences that you can have — especially if you’ve been in search of that answer for a while. We can help you get there.

Plaza San Juan Shopping Center

Visit Full Website

All Our Services

See all our treatments

All-On-4® Permanent Bridge Treatment

Fixed complete arch prosthesis on the same day of surgery.